吃瓜网 - 吃瓜爆料|热点黑料|网红大瓜|独家爆料 吃瓜网 - 吃瓜爆料|热点黑料|网红大瓜|独家爆料吃瓜网 - 吃瓜爆料|热点黑料|网红大瓜|独家爆料

第187页

吃瓜视频最全观看

港囧 电影,笑谈人生囧途,探寻港式风情

3

admin 发布于 2025-04-11

亲爱的读者们,你们有没有想过,一部电影能将笑声、泪水、回忆和冒险完美融合呢?今天,我要和大家聊聊的就是这样一部电影——《港囧》。《港囧》是一部2015年上映的香港喜剧电影,由徐克执导,刘德华、黄晓明、赵薇主演。这部电影在国庆档期上映,票房成绩斐然,成为了当年的热门话题。那么,这部电影究竟有何魅力,能...

阅读(246)评论(0)

吃瓜视频最全观看

一路向西 电影网,穿越西部风光,探寻人生真谛

3

admin 发布于 2025-04-11

一路向西,电影网带你领略西部风情亲爱的影迷朋友们,你是否曾梦想着一路向西,去探索那片神秘而广袤的西部大地?今天,就让我带你走进电影网的世界,一起领略西部风情的魅力吧!西部风情,电影中的诗意画卷西部,一个充满传奇色彩的地方。在这里,有壮丽的山河、辽阔的草原、神秘的沙漠,还有那独特的民俗风情。电影作为艺...

阅读(244)评论(0)

热门大瓜

新型城镇化建设,构建和谐宜居的现代城乡融合发展新格局

3

admin 发布于 2025-04-11

你知道吗?最近我国的新型城镇化建设可是火得一塌糊涂,就像一股清新的风,吹进了我们的生活。这不,我这就带你来一场说走就走的“新型城镇化之旅”,一起看看这股风是如何改变我们的生活的。一、以人为本,让农民工兄弟也能享受城市生活记得以前,农民工兄弟们辛苦劳作,却往往无法享受到城市居民的待遇。现在,新型城镇化...

阅读(215)评论(0)

热门大瓜

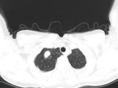
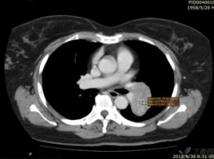
什么是肺占位性的病变,影像学诊断与治疗概览

3

admin 发布于 2025-04-11

你知道吗?最近我在网上看到了一个挺有意思的话题——肺占位性的病变。听起来是不是有点吓人?别担心,今天我就来给你详细说说这个神秘的肺占位性病变,让你对它有个全面的认识。什么是肺占位性的病变?想象你的肺部就像是一片宁静的湖面,突然间,湖面上冒出了一个孤岛。这个孤岛,就是肺占位性病变。它可以是良性肿瘤,也...

阅读(184)评论(0)

51吃瓜

linux服务器配置与管理,构建高效网络基石

3

admin 发布于 2025-04-11

亲爱的读者们,你是否曾对那些默默无闻却支撑着互联网世界的Linux服务器感到好奇?它们就像幕后英雄,默默守护着我们的数据安全,处理着海量的信息传输。今天,就让我带你走进Linux服务器的奇妙世界,一起探索它们的配置与管理之道吧!一、初识Linux服务器:幕后英雄的神秘面纱Linux服务器,这个名字听...

阅读(177)评论(0)

吃瓜视频最全观看

公司上市,揭秘公司上市全流程与关键要素

3

admin 发布于 2025-04-11

踏上梦想的征途:揭秘公司上市的精彩旅程想象你的公司从一个小小的创业团队,一步步成长为行业巨头,最终站在了资本市场的舞台上。这个过程,就像一场精彩的冒险旅程,充满了挑战与惊喜。今天,就让我们一起揭开公司上市的神秘面纱,看看这个激动人心的过程吧!一、梦想起航:股份公司的设立想要上市,首先要有一个股份公司...

阅读(179)评论(0)

必看大瓜

全面落实取消县城落户限制政策,助力新型城镇化建设新篇章

3

admin 发布于 2025-04-11

最近有个好消息传遍了大街小巷,那就是我国全面取消县城落户限制政策啦!这可是个大喜事,让咱们这些想在大城市安家落户的朋友们有了更多的选择。接下来,就让我带你一起详细了解这项政策,看看它对我们生活有哪些影响吧!一、政策背景你知道吗,我国县城人口占比一直较高,但长期以来,县城落户限制政策让很多人望而却步。...

阅读(184)评论(0)

更多吃瓜

合并分区,高效合并分区策略解析

3

admin 发布于 2025-04-11

你有没有遇到过这样的情况:电脑里的硬盘分区就像是一盘散沙,这边一个C盘,那边一个D盘,看起来乱七八糟的,而且有时候C盘空间不够用,D盘却空荡荡的。别急,今天就来教你一招,轻松合并分区,让你的硬盘空间重新焕发生机!分区合并,空间大作战想象你的硬盘就像是一个大仓库,分区就像是仓库里的隔间。有时候,隔间...

阅读(206)评论(0)

每日吃瓜

安徽智飞新冠疫苗,守护健康,共筑免疫防线

3

admin 发布于 2025-04-11

你知道吗?最近疫苗界又传来一个大消息,那就是安徽智飞新冠疫苗的研发进展。这不,我刚刚从网上搜集到了一些最新的信息,迫不及待想和你分享。让我们一起来看看这个国产疫苗的“成长日记”吧!疫苗研发,步步为营首先,得说说安徽智飞新冠疫苗的研发历程。据智飞生物发布的公告,他们全资子公司安徽智飞龙科马生物制药有限...

阅读(225)评论(0)

网红吃瓜

奔跑吧路透曝光,蔡徐坤王嘉尔羽绒服造型引热议,baby造型抢眼

3

admin 发布于 2025-04-11

哎呀呀,最近娱乐圈可是炸开了锅,因为《奔跑吧》的路透曝光啦!你有没有被那些甜蜜到冒泡的CP互动给萌到?让我带你一起看看这场视觉盛宴吧!校服CP甜蜜上线,网友直呼“这是公费恋爱吧!”3月27日,《奔跑吧》武汉站录制现场,孟子义和李昀锐这对“昀牵孟绕”CP以清新校服造型亮相,瞬间引爆社交媒体。白色衬衫搭...

阅读(210)评论(0)